EN
AR

Excellent imaging and navigation at your fingertips

To enable surgical teams to focus on treating patients, we keep advanced image guidance as easy and effective as we possibly can. The unlimited system flexibility enables your preferred way of working with free positioning at the head end. Our dedicated neuro tools put you in firm control during each step of a procedure as you decide, guide, treat and confirm results.

Explore the various image-guided neuro surgery procedures

  • Neurovascular care

    Neurovascular care

    Philips image-guided therapy offers the Neurovascular suite with a flexible portfolio of integrated technologies, services, and neuro accessories that puts you in firm control.

    Click here to learn more
  • Spine surgery

    Spine surgery

    Solutions for Spine procedures that offer advanced real-time image guidance with exceptional workflow flexibility for the hybrid OR, that enables you to perform fast, accurate, and simplified procedures. Offered by Philips image-guided therapy.

    Click here to learn more

Highlighted products for this segment

Azurion 7 M20 with FlexArm

Azurion 7 M20 with FlexArm

Unlimited imaging flexibility

More independent control for physician

Full staff positioning freedom

Increased lab utilization with procedure-based workflows

This ceiling-mounted system provides exceptional positioning freedom for medical teams. Unlimited imaging flexibility allows you to perform procedures from any position around the table including head end. Seamlessly control all relevant applications from a single touch screen at table side, to help make fast, informed decisions in the sterile field. By working around you, Philips Azurion with FlexArm helps you advance your performance and deliver superior care.

    Azurion 7 Biplane B20/15

    Azurion 7 Biplane B20/15

    During neurosurgery, the goal is to see clearly, while managing safety for all involved. The industry leading Azurion 7 biplane X-ray system is designed to enhance treatment and support effective guidance as you work. The perfect fit design of the FD20/15 detector allows the 15” detector to be positioned close to the patient’s head, covering the head from cranium to cervical. Seamlessly control all relevant applications from a single touch screen at table side, to help make fast, informed decisions in the sterile field.

    Clinical tools and options

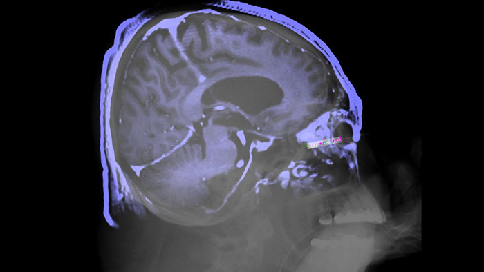
    XperGuide

    XperGuide 3D image needle guidance

    XperGuide offers live 3D image needle guidance, letting you bring percutaneous needle procedures into the Hybrid OR. It overlays live fluoroscopy and 3D soft tissue imaging data from previously acquired CT or MR scans or Philips XperCT, providing information on the needle path and target.

    AneurysmFlow

    Aneurysmflow blood flow diverter deployment

    AneurysmFlow is designed to give you relevant information before and after flow diverter deployment. It visualizes and quantifies flow changes for greater confidence in procedural effectiveness.

    Do you need imaging in a regular OR?

     

    With Philips Mobile C-arm Solutions, you can obtain sharp, detailed images quickly and easily, to support informed decisions during Orthopedics, Pain Management, Vascular and other surgical procedures in the OR.

    Disclaimer

    Product availability is subject to country regulatory clearance. Please contact your local sales representative to check the availability in your country.

    References

    1 The user level of expertise required is described in the Instructions for Use as the Intended Operator Profile

    2 3D reconstructions at higher resolution settings may take longer times.

    We are always interested in engaging with you.

    Let us know how we can help.

    1
    Select your area of interest
    2
    Contact details

    You are about to visit a Philips global content page

    Continue

    You are about to visit a Philips global content page

    Continue

    Our site can best be viewed with the latest version of Microsoft Edge, Google Chrome or Firefox.