EN
AR
Compressed SENSE
philips landing enhanced mr large

Compressed SENSE


Speed done right, every time

    How can Compressed SENSE benefit you?


     
    • Can be used in all anatomical contrasts and all anatomies.
    • Break-through acceleration technique speeding up not only sequences but your entire exam.
    • Unique implementation enabling 2D and 3D scans to be up to 50% faster with virtually equivalent image quality*

    Clinical cases from your peers with Compressed SENSE

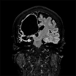
    HeadNeck compressed sense

    HeadNeck

    Pelvis scanning

    Pelvis

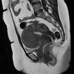
    Breast image for compressed sense

    Breast

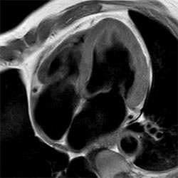
    Cardiac scan image

    Cardiac

    Need more information on Compressed SENSE. We will get in touch with you as soon as possible.

    *

    Contact information

    * This field is mandatory

    *
    *
    *
    *
    *
    *
    *
    *
    *

    By specifying your reason for contact we will be able to provide you with a better service.

    We work with partners and distributors who may contact you about this Philips product on our behalf.

    *
    *

    Final CEE consent

    In a society where reimbursements are declining and chronic conditions lead to increased MR procedures and longer waiting times, there is ever increasing pressure on the radiology department. Today, further attempts to accelerate, compromise image quality or are limited to a narrow range of scans. Therefore, to meet the increased demand for productivity, a technology break-through in acceleration is still required. Leveraging our long standing leadership position in speed (i.e. SENSE), Philips brings compressed SENSE, a breakthrough in productivity.

    Our goal is to reduce scan time, but we want the same image quality as before”

    Sabine Sartoretti, MD, Head of Neuroradiology, Institute of Radiology and Nuclear Medicine, Kantonsspital Winterthur, Switzerland

    Compressed SENSE increases the examination efficiency thanks to a shorter scan time with no change in image quality”

    Sachi Fukushima, RT, Kurashiki Central Hospital, Japan

    On-demand webinar:

    Compressed SENSE

    Jan W. Casselman, MD, PhD

    Jan W. Casselman, MD, PhD

    Chair of the Department of Radiology

    A.Z. Sint-Jan Hospital, Bruges, Belgium

    Head & Neck “consultant radiologist”

    A.Z. Sint Augustinus Hospital, Antwerp, Belgium

    Speed benefits of Compressed SENSE

    *Compared to examinations without compressed SENSE. Results from case studies are not predictive of results in other cases. Results in other cases may vary.

    A paradigm shift in productivity

    A paradigm shift in productivity

     

    Learn more about the main principles of Compressed SENSE and how it introduces a paradigm shift in productivity, how Compressed SENSE was designed around image quality, and how it advances productivity for clinical MR imaging.

    Experiencing the value of Compressed SENSE

    The value of Compressed SENSE

     

    Read about the experiences from Kantonsspital Winterthur (Switzerland) who experienced Compressed SENSE to be a simple yet powerful way to accelerate MRI scanning for different contrast types and sequences, in 2D as well as 3D.

    Visit NetForum

    Download protocols, in the format of ExamCards, and start accelerating your MR imaging today. Visit our NetForum community and learn from peers around the globe.

    enhance throughput time large

    Meet
    The Next MR Wave

    You are about to visit a Philips global content page

    Continue

    You are about to visit a Philips global content page

    Continue

    Our site can best be viewed with the latest version of Microsoft Edge, Google Chrome or Firefox.