EN
AR
Patient recording her workout using the product

Made for musculoskeletal

Quick assessment can help you get your patients back in action

Use Lumify handheld ultrasound for musculoskeletal to detect soft tissue injuries with high-definition imaging of muscles, joints, ligaments, tendons and cartilage.

Learn how Lumify can work for you

Start treatment with an accurate diagnosis

Start treatment with an

accurate diagnosis

Lumify helps you see the fine details in muscles, joints, ligaments, tendons and cartilage to make a more accurate diagnosis of injuries.

Respond fast with whole-body imagery

Respond fast with

whole-body imagery

Lumify can help you assess patients from head to toe, whether it’s plantar fasciitis, tendonitis or bursitis in the patellar tendon, or even shoulder instability in the rotator cuff.

Get the clarity of larger ultrasound systems with Lumify

Get the clarity of larger

ultrasound systems

with Lumify

SonoCT reinforces real tissue imaging while eliminating random artifacts. This technology produces images superior to conventional imaging in up to 94% of patients.

What industry leaders think about Lumify

See for yourself
 

Get the full picture with clear whole-body imagery for a fast, accurate response during MSK examinations.

Lumify transducers for MSK

Broadband transducer

Lumify L12-4 broadband linear array transducer

• 12 to 4 MHz extended operating frequency range
• Aperture size: 34mm
• 2D, steerable color Doppler, M-mode, advancedXRES and multivariate harmonic imaging, SonoCT
• High resolution imaging for shallow applications: soft tissue, vascular, superficial, musculoskeletal and lung
• Center line marker
• USB-C transducer with replaceable cable

Curved transducer

Lumify C5-2 broadband curved array transducer

• 5 to 2 MHz extended operating frequency range

• 50mm radius of curvature

• 2D, color Doppler, M-mode, advanced XRES and multivariate harmonic imaging, SonoCT

• High-resolution imaging for deeper applications: abdominal, gall bladder, OB/GYN and lung imaging preset optimizations

See more when it counts

From revealing the subtle details of an image to uncovering enriched tissue definition from multiple angles, Lumify can help you make real-time decisions with more confidence from assessment through recovery.

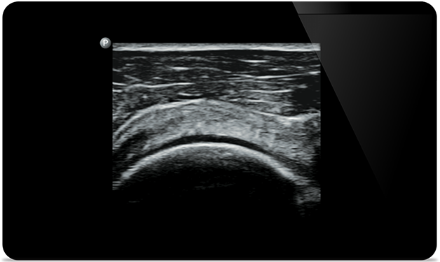
Padstatic case example image
Padstatic case example image

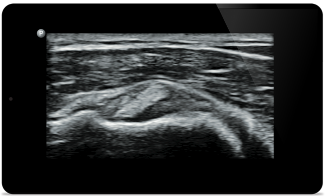
See more when it counts

From revealing the subtle details of an image to uncovering enriched tissue definition from multiple angles, Lumify can help you make real-time decisions with more confidence from assessment through recovery.

Discover how Lumify works for MSK

Patient getting the treatment

Video

Ultrasound-guided
knee arthrocentesis

Phone next to the lumify product

Case study

Supraspinatus tendon tear

Patient getting treatment

Quick guide

Ultrasound-guided hip arthrocentesis

We are always interested in engaging with you.

Let us know how we can help.

1
Select your area of interest
2
Contact details

You are about to visit a Philips global content page

Continue

You are about to visit a Philips global content page

Continue

Our site can best be viewed with the latest version of Microsoft Edge, Google Chrome or Firefox.